打开应用

直肠癌病例分享

王医师   邹城市人民医院
直肠肿瘤

主诉 病史

患者女性,62岁,既往左侧尺骨骨折并行手术。黏液脓血便2年余,左下腹隐疼不适1年,确诊直肠占位2天。

查体 辅查

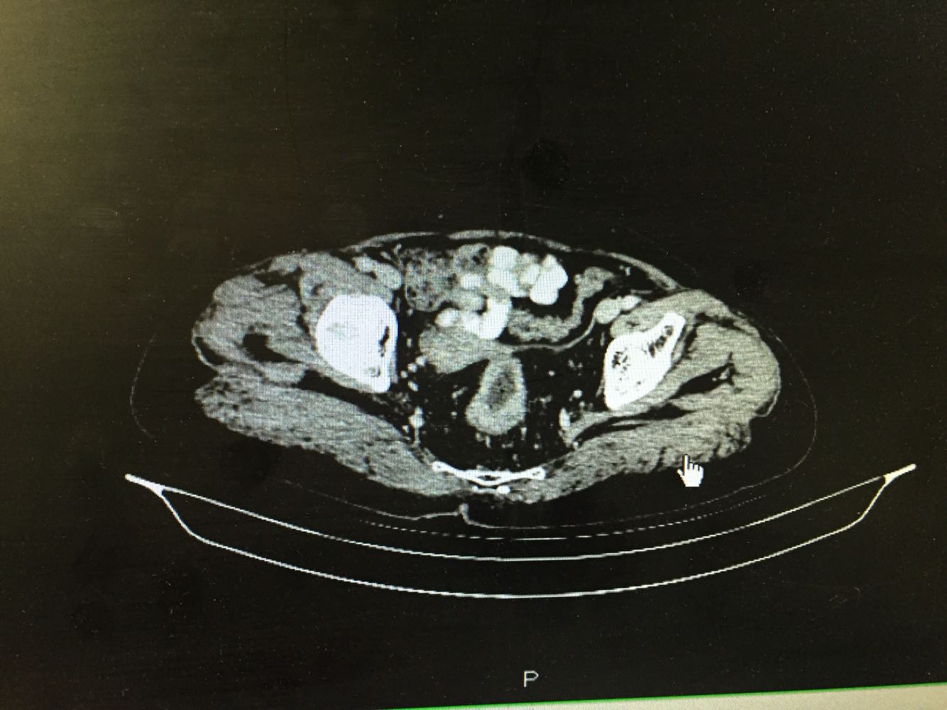
直肠指诊 距肛门7cm可及肿物下缘,环周生长,质偏硬。初诊直肠癌。病理提示高级别上皮内瘤变,未见平滑肌,浸润癌不排除。 腹部CT证实局段直肠癌厚,占位可考虑。

诊断 处理

直肠占位明确,考虑活检深度不够,认为直肠癌可能性大。与患者家属商议后同意直接手术。行腹腔镜下直肠癌根治术。手术顺利,恢复满意。

随访 讨论

患者病史比较长,一直未处理及治疗。术前阅片考虑外周侵润不明显,遂行腹腔镜手术,术后病理提示侵及深肌层,肠周淋巴结18枚均未见转移。 如果患者当初有症状及时就诊,可能并未癌变。基层见太多晚期肿瘤患者了。看病贵还是问题。

发布于 17-01-19 10:30

22 个评论

发送