下载或打开 医联APP 查看完整评论
立即下载
打开APP
主诉:右上后牙疼痛2天 现病史:诉5年前右上后牙于外院行“充填”治疗,2天前自觉右上后牙疼痛,夜间加重,冷热刺激疼痛,现疼痛减轻,来我科就诊 既往史:否认高血压、心脏病、糖尿病史,否认药敏史

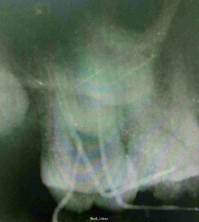
检查:17合面见牙色充填体,冷+,探-,叩不适,无松动,牙龈未见异常 x线:17冠方见高密度充填影像,近髓,近中根周膜略增宽 18低位阻生

诊断:17牙髓炎 治疗计划:17根管治疗术 处置:17开髓,揭顶,见少量渗出,探及MB、DB、P三个根管口,P疏通过程疼痛明显,干燥,置失活剂,氧化锌暂封 一周后复诊:主诉无不适,氧化锌暂封完整在位,去除氧化锌,清理髓腔,测量根管长度,MB=P=19mm,DB=21mm,根管锉扩大至MB、DB25#,P至35#,双氧水、生理盐水交替冲洗,干燥根管,髓腔置CP棉球,氧化锌暂封 一周后复诊:无不适,氧化锌暂封在位,去除暂封,试主尖,冷侧牙充填,根尖片显示:恰填。 一周后复诊:无不适,叩-,患者因经济原因拒绝修复治疗,去除暂封后,磷酸锌垫底,树脂充填,调合,磨光。



讨论:患者就诊时,有自发痛、夜间痛病史,后来疼痛程度降低,是牙髓部分坏死的表现,开髓过程中无明显疼痛,说明冠髓已经坏死,但是腭侧根管探痛明显,仍为活髓,渗出量不大,所以首次封失活剂。常规预备根管后,冷侧压充填,建议患者全冠修复,患者拒绝,树脂充填后予以充分降低咬合,并嘱咐患者不要用患牙咀嚼坚硬食物。