主诉:左下后牙自发痛2日。 现病史:左下后牙近2周来进食冷热刺激性食物疼痛不适,2日前开始自发性、阵发性疼痛,夜间疼痛加重难以入睡,今来诊求治疗。 既往史:体健,否认全身系统性疾病,否认药敏史,否认重大手术史及输血史,否认家族性遗传病史。
检查:36颊侧颈部楔形缺损,探敏感,远中邻面深牙周袋,探诊深度约5mm,可探及龈下牙石,舌侧可探入根分叉区约1-2mm,叩痛不适,无明显松动,牙龈红肿 X线示:36牙槽骨吸收至根中1/3,远中根尖及根分叉区见低密度影像
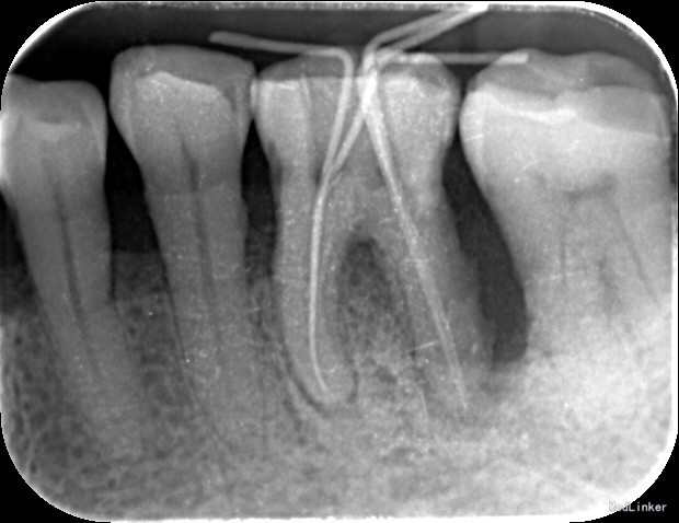
诊断:36牙周-牙髓联合病变 治疗计划:1、36牙周基础治疗 2、36根管治疗 治疗:1. 36碧兰麻局麻下牙合面开髓,暴露髓腔,降牙合,探及MB、ML、DB、DL四个根管口,MB、ML根管内大量血性渗出,DB、DL根管内少量脓性渗出,3%过氧化氢和0.9%生理盐水冲洗,隔湿,干燥,MB、ML根管口置非砷慢失活剂,DB、DL根管口置CP棉球,氧化锌水门汀暂封。 36龈下刮治,根面平整,3%过氧化氢和0.9%生理盐水冲洗,上碘甘油,嘱勿用患牙咬物。 2.主诉:左下后牙上次治疗后疼痛缓解 检查:36暂封物在,叩痛(—),牙体无松动,牙龈无明显红肿。 处置:36去除暂封物,拔残髓,10号C锉疏通根管,干燥根管,电测工作长度均为20mm。EDTA下,常规预备至35#,3%过氧化氢和0.9%生理盐水冲洗+超声荡洗根管交替进行。隔湿,干燥根管,封CP棉球, 氧化锌水门汀暂封。嘱勿用患牙咬物。 3.主诉:左下后牙上次治疗后无不适。 检查:36暂封物在,叩痛(—),牙体无松动,牙龈无明显红肿。 处置:36去除暂封物,取出棉球,生理盐水冲洗并干燥根管,复测工作长度同前。进口根充糊剂+牙胶尖冷侧压根管充填,氧化锌水门汀暂封。术后拍片示:36根充恰填。嘱勿用患牙咬物。
牙周-牙髓联合病变即患牙同时存在牙髓炎症和牙周破坏,牙周组织与牙髓组织相互沟通,且牙周袋内和感染的牙髓内部都存在以厌氧菌为主的混合感染,它们所引起的炎症和免疫反应有相似之处,因此出现两种疾病联合的症状和体征时,会给临床治疗带来一定的困难。只有了解牙周炎与牙髓炎的病因关系才能对患牙进行正确的治疗并取得良好的治疗效果,也就是说治疗的主次是以病源为主的。若不能确定是牙周病引起还是牙髓病引起,则对死髓牙先做牙髓治疗,配合牙周基础治疗;对活髓牙则先做系统的牙周基础治疗和调牙合,若疗效不佳仍有牙痛者,再进行牙髓治疗。 本病例中,牙周病变和牙髓病变相通,如果牙周袋能消除或变浅,病情能得到控制,可先作牙髓治疗,同时开始牙周炎的一系列治疗,即清除感染的牙髓和牙周袋内的感染,严密封闭根管系统并行完善的根管充填。在上述双重治疗后,可观察数月至半年,以待根尖和牙周骨质修复。若数月后骨质仍无修复,或牙周袋仍深且炎症不能控制,可再行进一步的牙周治疗如翻瓣术等。 牙周炎和牙髓炎是口腔疾病中常见的两种疾病,分别是发生在牙周组织和牙髓组织的两种独立疾病,常可独立存在。但是牙齿和牙周组织在结构和功能上存在着复杂的联系,如通过侧支根管、副根管和根尖孔使牙髓牙周组织紧密相连,由此牙髓病变发展到一定程度可能影响到牙周组织,反之牙周组织的感染也可波及到牙髓。所以,针对复杂的牙周-牙髓联合病变时,掌握原发病变是治疗成功的关键。应根据不同的形成原因,采用相应的治疗方案,有效的综合治疗措施和患者的积极配合,能够提高牙周牙髓病的治疗成功率,促进患牙早日康复并持久稳定。


