下载或打开 医联APP 查看完整评论
立即下载
打开APP
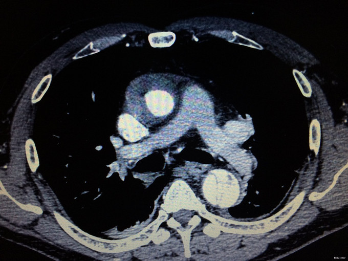
患者男,45岁,主因胸痛2小时入院
CT:升主动脉环形增厚,未见强化;主动脉弓和降主动脉形成动脉夹层,可见内膜片

主动脉夹层合并主动脉壁内血肿 治疗:急诊手术:升主动脉置换+全弓置换+支架象鼻植入
该患者为A型主动脉夹层,同时还合并升主动脉壁内血肿,这是很罕见的。有人认为主动脉壁内血肿可能是夹层的原因,但是根据近几年的研究,已经把AMI独立为一种疾病了,并且把AMI,AD和PAU统称为急性主动脉综合征。所以胸痛病人,一定要鉴别是ACS,还是AAS。如果是AAS,你给他抗血小板,将是致命的错误!这种病有多危险呢?每一个小时死亡1%,2天后死一半。