主诉:腹痛1周。 病史:患者男,65岁。1周前餐后出现明显腹痛,表现为腹上区和脐区疼痛,呈持续性闷痛,伴阵发性加重,无发热畏寒,解黑便,伴纳差,无恶心、呕吐。外院胃镜检查示:胃体巨大溃疡,中央覆污苔,周围组织充血,吻合口黏膜水肿。起病以来,体质量减轻约5kg。患者30余年前因消化道溃疡于外院行胃大部切除术。
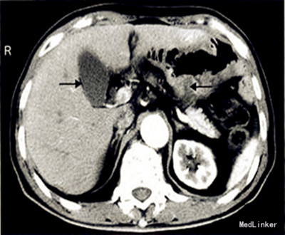
查体:腹部平坦,中上腹见一长约15 cm手术切口瘢痕,愈合良好,未见胃肠型及蠕动波,无腹壁静脉曲张,腹肌无明显紧张,腹上区和脐区轻压痛,无反跳痛,未触及包块,肝脾肋下未触及,墨菲征阴性,肝上界位于右锁骨中线第5肋间,肝区和双肾区无叩击痛,移动性浊音阴性,肠鸣音3~5次/min,未闻及气过水声及血管杂音;肛门指诊未触及包块,指套退出无血染。 辅查:腹上区CT检查:原胃大部分切除术后改变,残胃充盈不佳,壁稍增厚(图)。AFP 2.08μg/L,CEA 7.26μg/L,糖类抗原CA72-4 3.12μg/L。

诊断:残胃癌 治疗:全身麻醉下行剖腹探查术,术中见残胃吻合口处一质地坚硬包块,胃壁局部明显增厚,包块侵犯左肝外叶脏面,小肠、横结肠与腹壁切口粘连,近端小肠与邻近组织粘连,小肠吻合口系膜内可触及一大小约2cm×3 cm的淋巴结。胆囊位于肝十二指肠韧带右侧,被周围组织粘连包裹。遂行残胃切除 + 食管空肠Roux-en-Y吻合+左肝外叶切除+肠粘连松解术,术后予心电监测、氧、预防感染、抑制消化液分泌、止血、保肝、补液等治疗。
随访:术后病理检查结果:残胃低分化腺癌,浸透肌层达浆膜,周围淋巴结转移,肝脏受累及。患者术后恢复尚可,体温36.2~36.8 ℃,WBC 9.48×109/L,进半流质饮食。 讨论:消化性溃疡术后残胃可发生腺癌,多发生于手术10~15年之后,发生率一般为1%左右,为消化性溃疡未行手术者发生癌变的3~4倍。胃溃疡术后发生率高于十二指肠溃疡术后。临床症状与一般胃癌相似,对消化性溃疡手术多年之后,又出现上腹部无规律疼痛、饱胀不适、食欲减退、疲乏无力、体重减轻、上消化道出血、贫血症状者,应考虑为残胃癌的可能。