下载或打开 医联APP 查看完整评论
立即下载
打开APP
患者,男,6岁。主因进行性言语理解障碍,学习成绩下降,斜视伴视觉缺损4月入院。



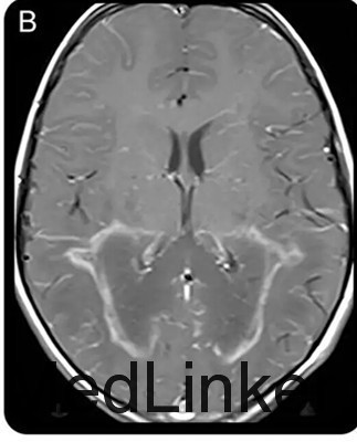
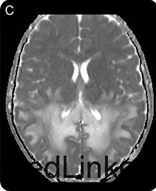
查体发现患儿皮肤色素沉着及低血压。神经系统查体提示理解困难,双眼视力下降、共轭凝视不良,辩距不良,步态不稳。脑脊液蛋白升高。头颅MRI如下图。清晨皮质醇水平降低,促肾上腺皮质激素兴奋试验证实肾上腺功能不全功能。神经遗传学检测提示ABCD1基因突变
诊断:肾上腺脑白质营养不良 治疗:肾上腺皮质激素替代治疗,食用富含不饱和脂肪酸的饮食,避免食用含长链脂肪酸的食物。
ALD是一种先天性代谢性疾病,也是最常见的溶酶体病之一。属于X-连锁遗传病。本病特征性的影像学改变是MRI可见双侧顶枕区白质对称性分布的蝴蝶样长T1长T2信号,早期即可以胼胝体压部受累,并将两侧病灶连为一体。(神经病学俱乐部)本病一般预后较差,在出现神经症状后1~3年死亡。