下载或打开 医联APP 查看完整评论
立即下载
打开APP
打开应用
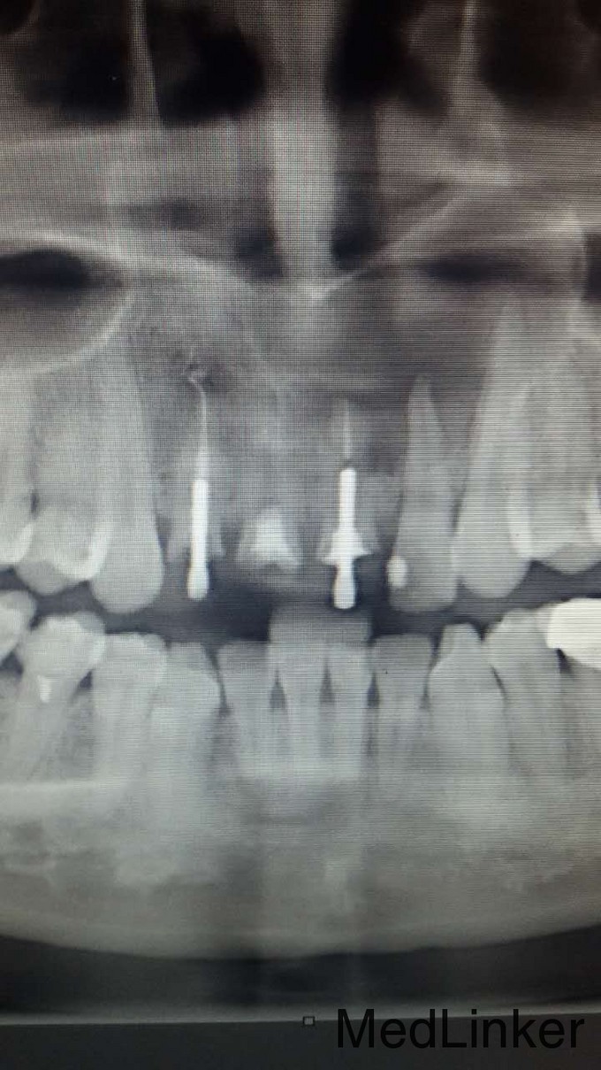
根管治疗桩核固定义齿修复
吉林用户
吉林省白山市慈铭口腔诊所
主诉 病史
王婉君 女 29前牙残根要求固定义齿修复
发布于 15-11-02 10:25
医联推荐你看
根管治疗固定义齿修复
根管治疗桩核固定义齿修复
根管治疗桩核固定义齿修复
共
1
个评论
查看更多评论
发送
0