下载或打开 医联APP 查看完整评论
立即下载
打开APP
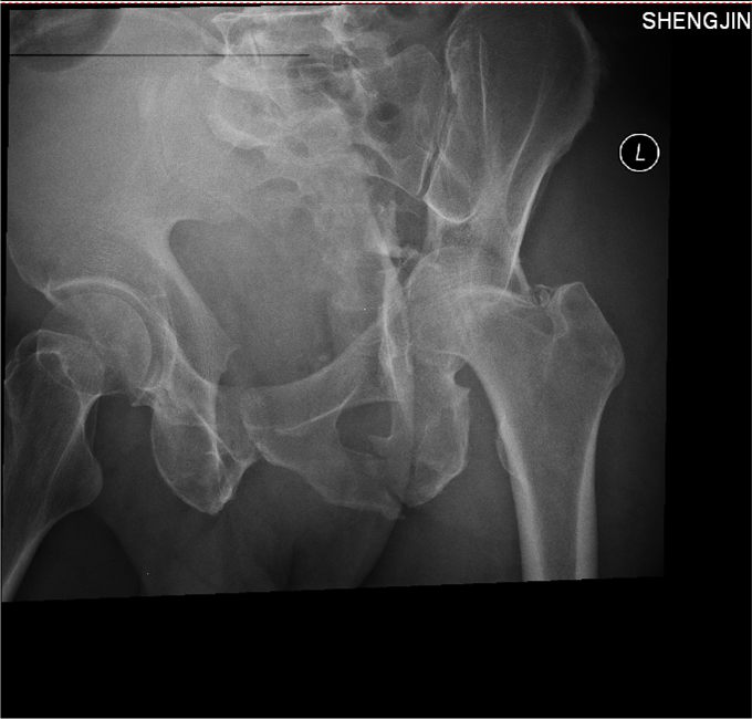
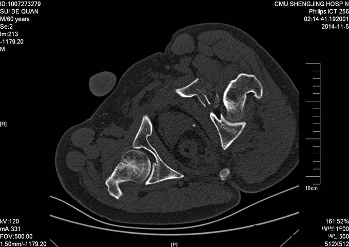
1.患者老年男性,以“车祸左髋部疼痛活动受限3天”为主诉入院。 2.现病史:患者自述于2014-11-04日晚下午7点发生机动车肇事,伤后患者急救车送往孤山二院,诊断为左髋臼骨折,当地医院未经任何治疗。急来中国医科大学附属盛京医院第五骨科创伤骨科治疗。我科以“左髋臼骨折”为主要诊断收入院。今来我院就诊,患者病来一般状态可,生命体征平稳,无发烧无发热,饮食睡眠可。



专科查体:患者平车入病房,左腿内收内旋屈曲畸形,左髋部压痛(+),叩击痛(+),骨盆分离试验阳性,活动受限,双下肢感觉未见异常,活动可,双侧足背动脉搏动可触及,双侧足趾活动灵活。





入院后急诊行左髋关节脱位复位术,左胫骨结节骨骼牵引术。术后牵引7公斤,完善相关检查后,全麻下行左髋臼骨折切开复位内固定术。术后患者生命体征平稳,卧床。术后14天拆线后出院,回当地医院继续治疗。

患者术后3个月可以拄拐下地行走,口服吲哚美辛预防异位骨化。