下载或打开 医联APP 查看完整评论
立即下载
打开APP
患者男,56岁,因下腹部疼痛一周余入院。患者于一周余前无诱因出现下腹部疼痛,无恶心、呕吐,无腹胀、腹泻,无胸闷、心悸。患者自发病以来,饮食睡眠差,大便少,小便如常,体重未见明显增减。
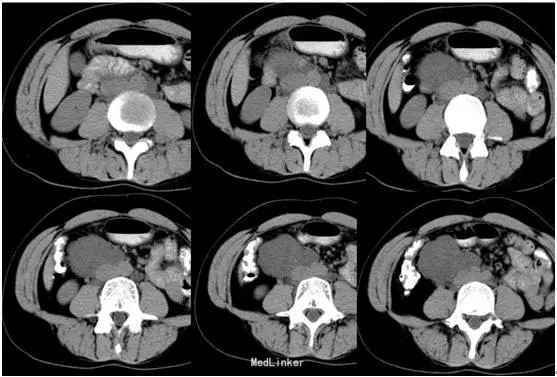
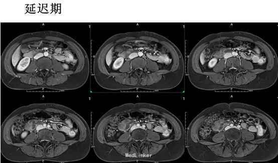
腹部平坦,未见胃肠型及蠕动波,无腹壁静脉曲张,腹软,下腹部轻度压痛,无反跳痛,下腹部扪及一包块,大小约7.5×6cm,质地硬,位置固定,移动性浊音阴性,肠鸣音正常。T 37.5°,P62次/分,R21次/分,Bp140/86mmHg。MR平扫及增强示:中下腹偏右侧见类圆形等长T1长T2异常信号,FS-T2WI呈高信号,DWI(b=800)呈高信号,相应ADC图呈低信号,边界尚清,周围组织受压但未受侵及,注入GD-DTPA后病变强化。





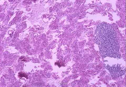
初步诊断:腹膜后肿瘤。行剖腹探查术+腹膜后肿瘤切除术。术后病理:(腹膜后)淋巴管肌瘤病。免疫组化:Vim +、SMA +、HMB-45 少数散在+、Ki-67 5%、MelanA -、ER -、PR -;扁平上皮:CD34 +、CD31部分+、D2-40灶性+。
淋巴管肌瘤病是一种罕见病,主要发生在肺部,肺外主要发生在腹膜后、盆腔淋巴结、子宫、纵隔、颈部等。主要发生于育龄期妇女,病因不明,推测与雌激素水平有关。临床表现也不典型,诊治上有没有什么经验?预后如何?