下载或打开 医联APP 查看完整评论
立即下载
打开APP
患者,男,62岁,患者因“行走不稳10年余,渐进性加重伴言语不清2年余”入院。10余年前无明显诱因下出现行走不稳,与当地医院就诊,行颅脑磁共振提示小脑萎缩,随后间断服药治疗,行走不稳未见改善,并逐渐加重,双上肢持物不稳,2年余前开始出现言语不清,行走及站立时双下肢乏力、不稳,进食可出现呛咳,于湖南湘潭医院拟“小脑性共济失调”治疗,治疗效果不明显,今患者进一步诊治。否认家族中类似病史。
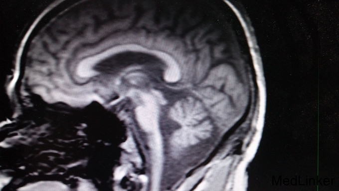
构音欠清,双眼外展活动受限、悬雍垂左偏,左侧咽反射减弱,双下肢肌力4级,共济失调。辅查: 1. 头颅MRI:小脑萎缩,桥脑、延髓体积偏小,注意变性疾病(橄榄桥脑小脑萎缩)可能; 2. 肌电图:神经性损伤;诱发电位:双上下肢体和双侧视觉异常体感诱发电位。


MSA-C。营养脑细胞、神经及对症处理为主,家属拒绝行SCA基因检查。
讨论: 1. 原发的延髓小脑萎缩较少出现周围神经受累,注意SCA2型的鉴别。 2. MSA-C 型注意与SCA的鉴别,scA大多具有典型的常染色体显性遗传家族史,多于青年或中年隐袭起病,而MsA—c绝大多数为散发病例,多于50—60岁起病,在追问家族史时,个别MsA患者回忆已去世的上一代在老年期也出现过类似表现。另外,对于共济失调的,应该排除继发性小脑共济失调,如酒精中毒、甲状腺功能低下和副肿瘤综合征等。