下载或打开 医联APP 查看完整评论
立即下载
打开APP
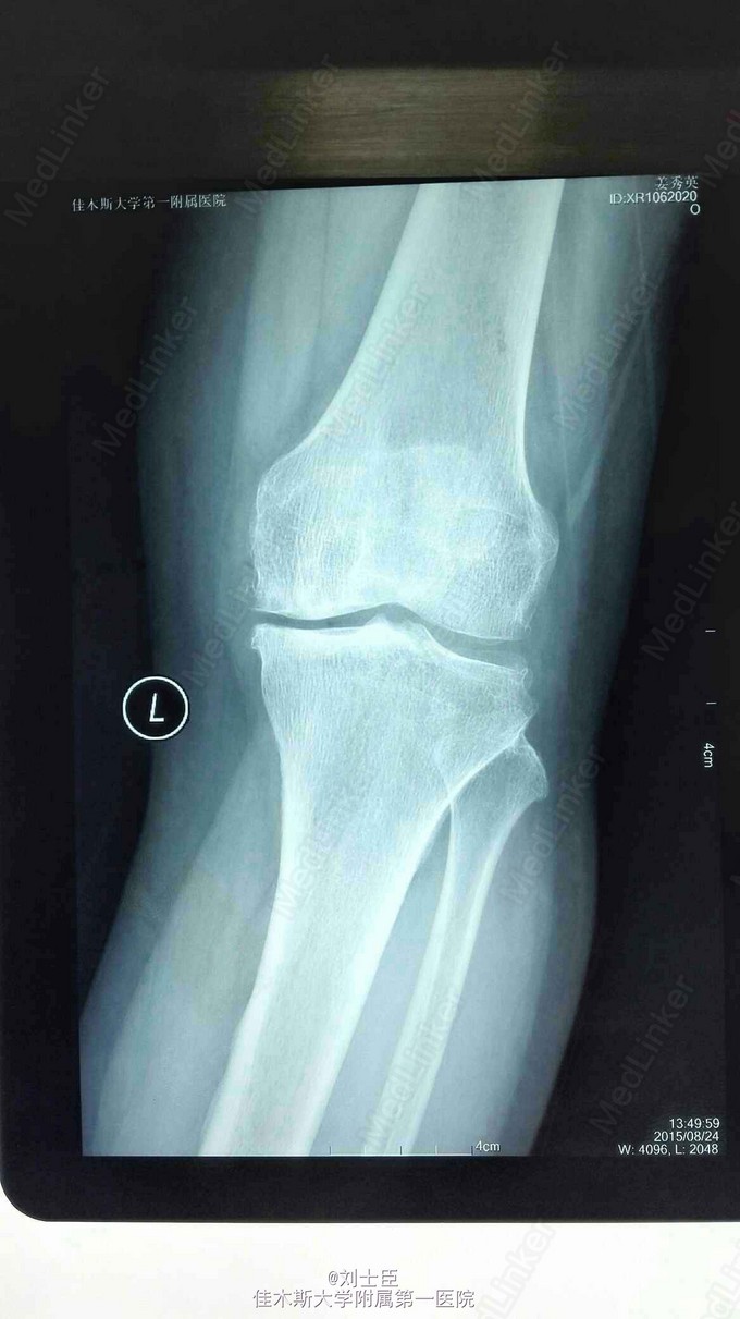
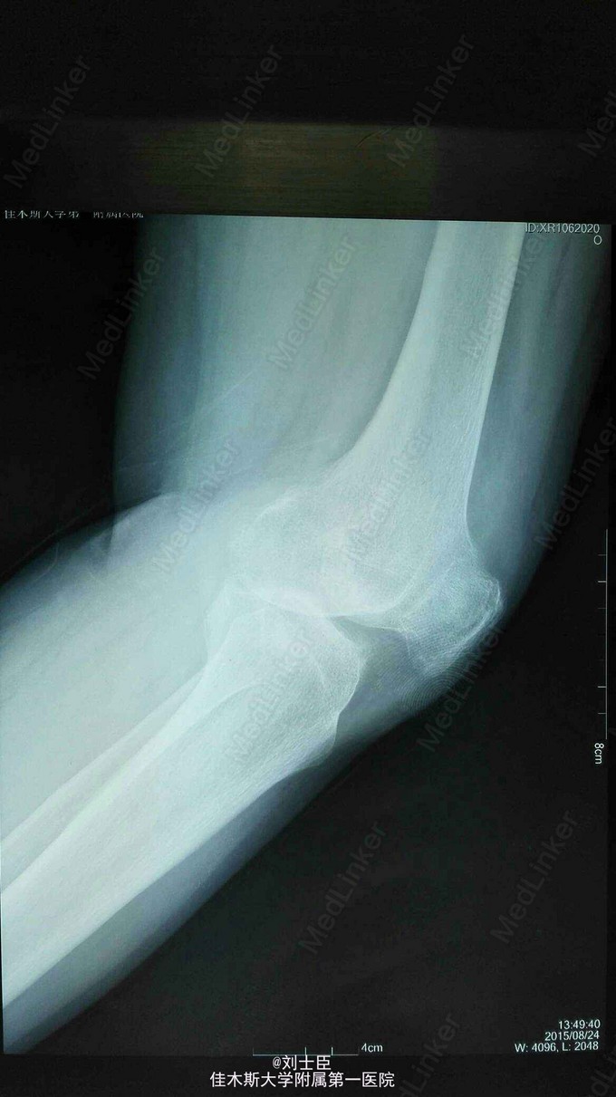
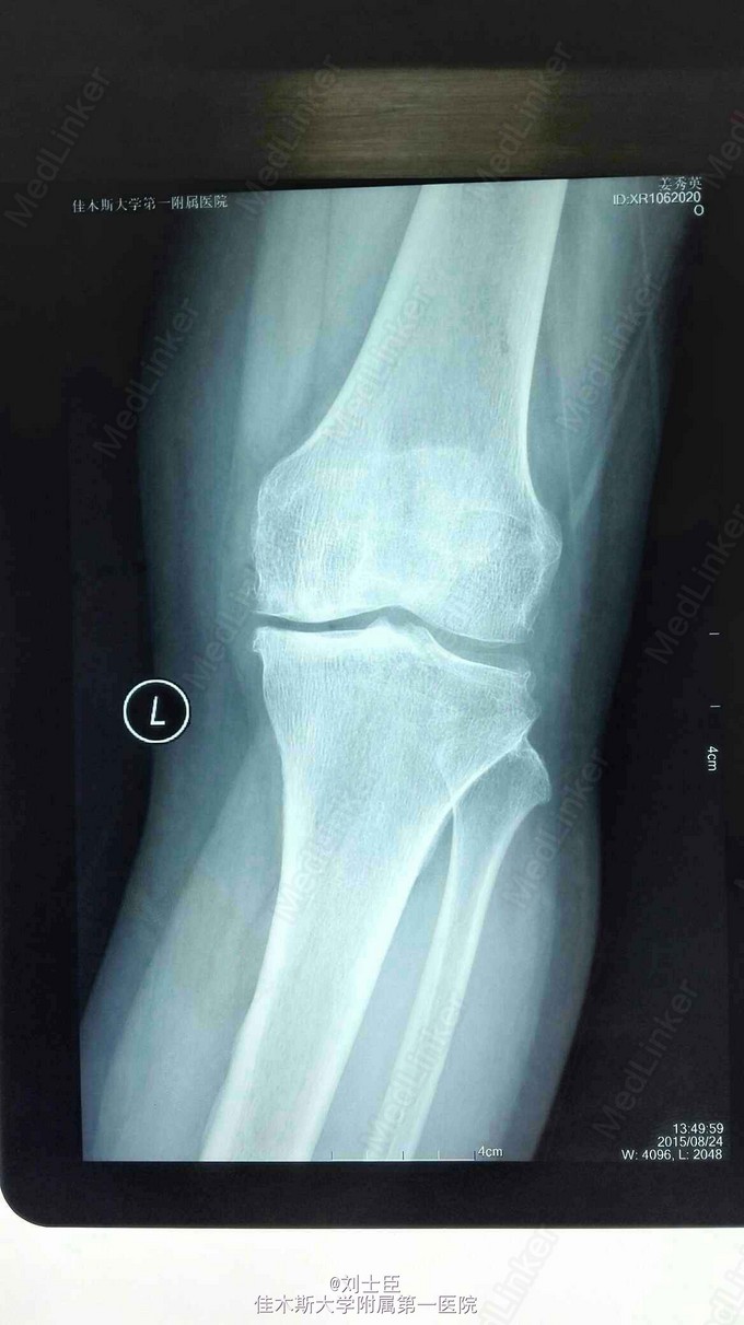
xx,女,54岁。左膝疼痛伴活动受限5年加重1个月。上下楼困难,走平路500米跛行。


左膝内侧压痛明显,伸直10度,屈曲100度。蹲起困难。过伸过曲实验阳性。


左膝关节骨性关节炎。 膝关节镜清理术加腓骨截骨术。





病人术后疼痛减轻,行走自如。蹲起良好。伸直5度,屈曲120度。平路和上下楼疼痛减轻。 术后4周膝关节轻度肿胀。症状体征进一步好转。能长时间行走,间断上下楼。 您对此种做法的观点?同意或不同意。 您对此病的治疗观点?您通过自己的治疗方法,患者的满意率如何? 您是否会选择膝关节置换?您有把握让假体生存20年或更长,而患者满意吗?