下载或打开 医联APP 查看完整评论
立即下载
打开APP
患者女,12岁,咳嗽、咳痰、咯血、低热1月余,左下肢疼痛肿胀3d。患者1个月前无明显诱因咳嗽、咳痰、咯血、低热,于当地医院就诊,诊断为双肺肺结核,予异烟肼、利福平、乙胺丁醇、吡嗪酰胺诊断性抗结核治疗2周后,症状好转,出院后继续服用抗结核药物。4d前爬山回来后出现左下肢疼痛明显,伴有肿胀,活动受限,乏力、纳差。
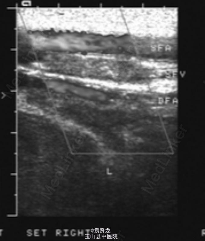
体温37.5°C,一般情况可,贫血貌,皮肤黏膜未见瘀点及出血点,浅表淋巴结未触及,胸骨轻压痛,双肺呼吸音清,可闻及少量湿性啰音。心律齐,各瓣膜听诊区未闻及杂音。肝脾肋下未触及。左下肢肿胀,皮温不高,伴有压痛,左 膝关节活动受限。神经系统检查未见异常。胸片:双上肺肺结核浸润影。髋 关节正侧位片无异常。血常规:WBC 10. 6*10^9/L,Hb78L,P1t 53*10 ^9/L,左下肢深静脉彩超示:左下肢深静脉及大隐静脉近心段血栓形成。骨髓象:骨髓增生明显活跃,粒:红= 0.28:1,原幼占39%,分类不明细胞占57%,胞体大小形状不一,胞核可见扭曲、折迭、切迹,核仁 1~3个。

诊断AML伴左下肢深静脉血栓。给予抗结核、对症止痛 、纠正贫血治疗,爱脉朗口服+华法林1片(1/d) ,并监测凝血功能。1周后,患者症状减轻,予DA化疗方案。
化疗期间出现粒缺感染,予抗感染及升白治疗后好转,两疗程后复查骨髓象完全缓解,随访1年无复发。白血病的血栓形成是白血病细胞的淤滞和浸润引起 的,以血栓为首发症状的白血病并不多见,白血病合并血栓形成的治疗应在积极缓解白 血病的基础上,适时合理应用抗凝、溶栓药物。本例还提醒我们,临床上当出现发热,血常规异常,常规治疗效果不佳时,需警惕血液系统恶性疾病。