下载或打开 医联APP 查看完整评论
立即下载
打开APP
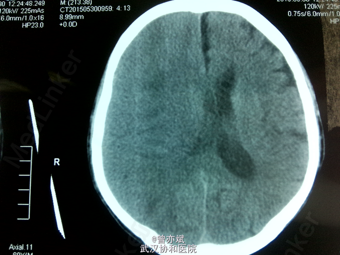
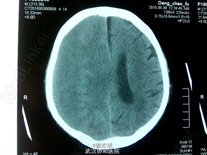
主诉:双下肢乏力3月余,加重1周 现病史:患者2月前意外摔倒后感双下肢乏力,无昏迷、恶心呕吐、头痛头晕等症状,未予特殊处理,今日感双下肢乏力加重,来我院就诊,行CT示右侧慢性硬膜下血肿。


查体除双下肢肌力4级外,余无明显阳性体征。
诊断:慢性硬膜下血肿 处理:行微创钻孔引流术


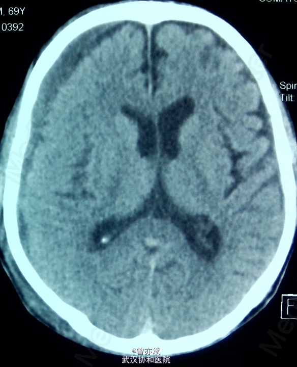
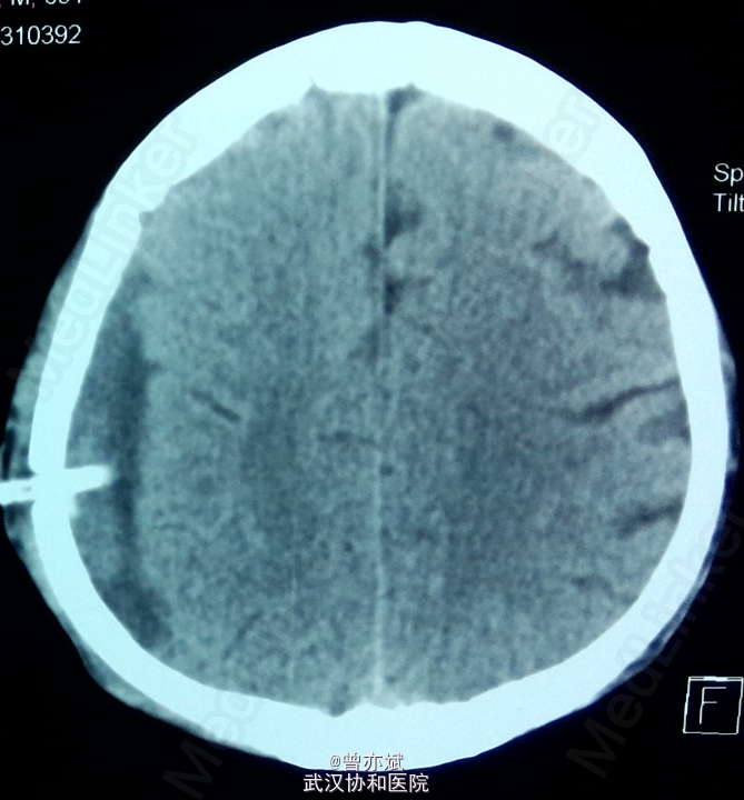
5天后的CT如下:血肿较前稍减少,密度稍减低 摔倒后当时无明显的症状,之后出现慢性硬膜下血肿,特别是在老年人中更易出现,摔倒后弱头部着地,应行CT检查。

