主诉:腹痛伴后背胀痛4月余 现病史:患者4月前无明显诱因下出现腹部隐痛,伴后背胀痛,无恶心、呕吐,无发热、畏寒,无腹泻。2014-4-10至句容市人民医院就诊,B超示肝囊肿,左肝内胆管扩张;MRI示肝门区病变可能伴左肝内胆管扩张。2014-4-22至江苏省人民医院,查CA199 239.7U/ml,CEA 18ng/ml,MRCP示肝门处占位伴肝内胆管扩张,考虑胆管细胞癌可能大,肝多发囊肿。现为进一步诊治收入我院。 患者自发病以来,精神可,胃纳可,二便无殊,体重无明显改变。
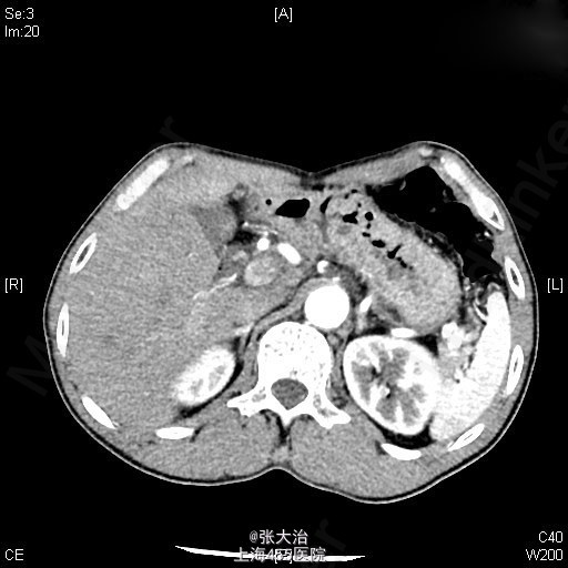
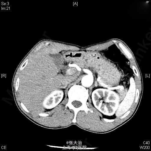
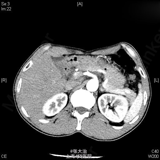
查体:神志清晰,精神尚可,呼吸平稳,营养中等,表情自如,发育正常,自主体位,应答流畅,查体合作。全身皮肤无黄染,无肝掌、蜘蛛痣。全身浅表淋巴结无肿大,无明显贫血貌,左锁骨上淋巴结(-);腹部平坦,未见肠型或胃蠕动波,未见腹壁静脉曲张;全腹软,无压痛、反跳痛、肌紧张。肝脾肋下未及,包块未及;移动性浊音(-),肠鸣音正常,每分钟约3次,不伴高调音、气过水声。 2014-4-10某人民医院就B超(92301):肝囊肿,左肝内胆管扩张;MRI(1697647):肝门区病变可能伴左肝内胆管扩张。 2014-4-22某人民医院MRCP(68941):肝门处占位伴肝内胆管扩张,考虑胆管细胞癌可能大,肝多发囊肿。 肝动脉CTA、门脉CTV、肝静脉CTV、下腔静脉CTVCT【2014-05-05 我院】 :肝门区MT,肝左、右动脉及门脉主干、左支受侵;肝及双肾小囊肿。 上腹部平扫+增强+DWI+MRCPMRI【2014-05-06 我院】 :肝左叶MT(胆管细胞型机会大)伴肝左叶胆管扩张,门脉受侵;肝、双肾小囊肿。 肝脾及门脉;胆(含胆总管);肾+输尿管;胰超声【2014-05-05 我院】 :超声造影:肝门部偏左侧实质占位--考虑肝门部胆管MT,侵犯门脉左支可能;肝左叶胆管扩张;右肾囊肿 肝脏超声造影超声【2014-05-05 我院】 :超声造影:肝门部偏左侧实质占位--考虑肝门部胆管MT,侵犯门脉左支可能;肝左叶胆管扩张;右肾囊肿 肝脏术后(检查胸水、腹水、手术区、膈下)超声【2014-05-20 我院】 :右侧胸腔少量积液;腹水






诊断:胆管肿瘤 治疗经过:患者完善相关检查和术前准备,行剖腹探查,肝十二指肠韧带淋巴结清扫术,胆囊切除 。肋缘下切口逐层入腹,探查肝呈小结节性硬化,色呈粉红。脾脏无殊。胃肠无殊,盆底无转移。先行切除胆囊扩大探查范围。肿瘤位于肝门部胆管,直径3.0cm,累及肝右动脉及其右后分支,累及门静脉主干及右后分支,肝右后叶肝管正常。肝十二指肠韧带背面扪及肿大淋巴结,胃左动脉旁扪及肿大淋巴结,取组织送冰冻病理提示转移。决定终止手术。彻底止血,清点器械纱布无误后逐层关腹。
随访讨论:(1)胆总管结石、左右肝管结石。根据患者病史,体征及辅助检查如PET-CT:1.考虑为胆总管中下段MT伴其上胆总管及肝、内外胆管扩张,肝门区及胰头旁淋巴结转移可能。2.左肺慢性炎症及陈旧灶 3.胆囊炎可能,请结合临床;右肾囊肿;右肾盂结石;左侧腹股沟疝 4.双侧基地区腔梗,老年脑。该诊断可能性大,但仍需与胆囊息肉、胆总管MT等相鉴别,可待术后病理进一步明确。 (2)胰头MT。根据患者病史,体征,该诊断可能性不大。体检:Murphy's征(-)。辅助检查:PET-CT:1.考虑为胆总管中下段MT伴其上胆总管及肝、内外胆管扩张,肝门区及胰头旁淋巴结转移可能。2.左肺慢性炎症及陈旧灶 3.胆囊炎可能,请结合临床;右肾囊肿;右肾盂结石;左侧腹股沟疝 4.双侧基地区腔梗,老年脑。 该诊断可能性小,可待术后病理进一步明确