患者女,92岁1,因“外伤后右髋关节疼痛畸形伴功能障碍11小时”入院。患者诉11小时(凌晨2点)前于卫生间不慎摔倒致右髋着地,无皮肤及软组织擦伤,自觉右髋疼痛明显,家属不知,患者自行回房休息(具体不详)。5小时前,患者右髋关节区疼痛加重伴轻微肿胀,家属发现其右下肢短缩畸形伴活动障碍。为求进一步诊治,遂入我院急诊,收治我科。患者自受外伤以来,精神、饮食可,睡眠欠佳,平素大便次数少(约5-6天1次),自受伤以来未解小便,体重无明显变化。

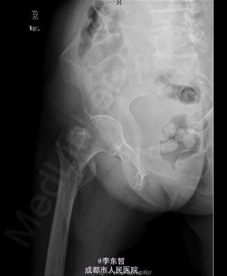
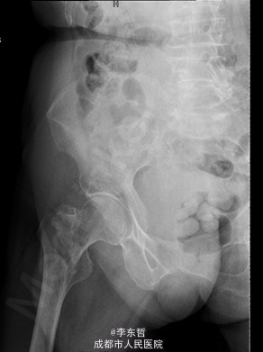
查体:T:37.2oC,P:72次/分,R:18次/分,BP:124/68mmHg。神志清楚,急性病容,皮肤巩膜无黄染,全身浅表淋巴结未见肿大。。颈静脉正常。心界正常,心律齐,各瓣膜区未闻及杂音。胸廓未见异常,双肺叩诊呈清音,双肺呼吸音清,未闻及干湿啰音及胸膜摩擦音。腹部外形正常,全腹柔软,无压痛及反跳痛,腹部未触及包块,肝脏肋下未触及,脾脏肋下未触及,双肾未触及。双下肢无水肿。 专科查体见:右髋关节局部肿胀,周围无红肿、皮肤损伤、溃疡和糜烂,右下肢短缩畸形,无表浅静脉曲张。右转子间轻触痛,扣痛。右髋活动受限,右下肢短缩畸形约5cm,轻度外旋、内收。右髋关节屈伸、外旋内旋、外展内收功能障碍。 X线片示:右股骨转子间骨折,累及大小转子,断端稍分离,未见明显错位,周围软组织肿胀明显,右髋关节在位。

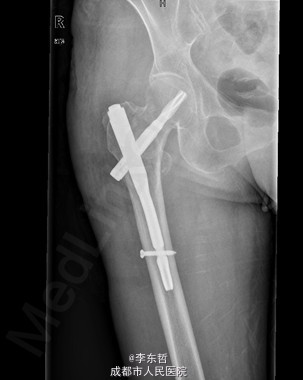
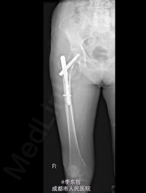
初步诊断:1、右股骨转子间骨折(Evans III型);2、骨质疏松症。 诊疗计划:1、向患者及家属交待病情及注意事项。2、向上级医生汇报患者病情。3、完善术前相关检查。4、给予皮肤牵引、抬高患肢等对症处理。5、拟手术治疗。6、密切观察病情变化,根据病情及时处理。


随访无特殊

