打开应用

脾脏破裂

张医师   中国医学科学院肿瘤医院

主诉 病史

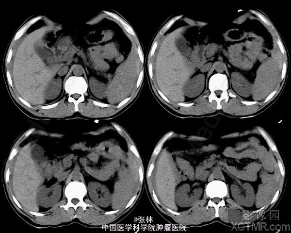
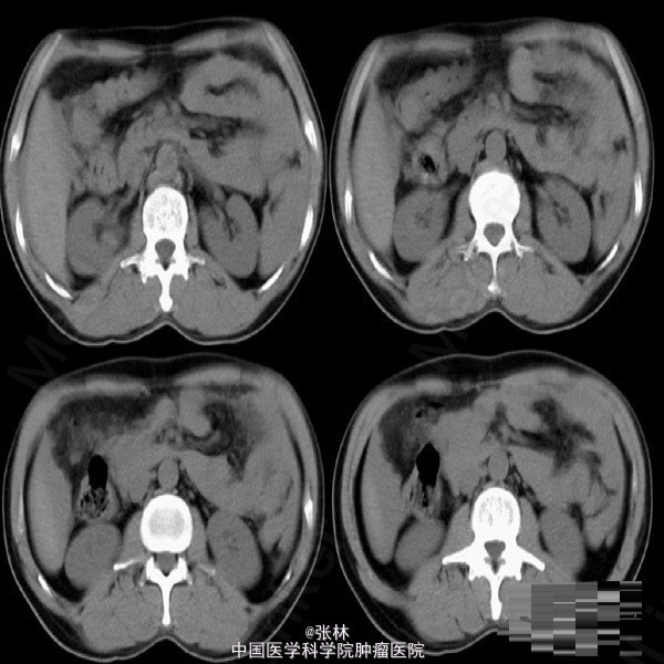
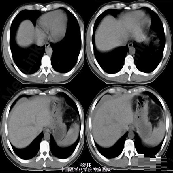
【病史临床】患者,男性,44岁,上腹外伤,疼痛伴呕吐2小时之主诉来诊。CT表现:肝脏周围积液征象,脾脏形态不规则,脾周可见略高密度影。 结果:手术记录如下:(剖腹探查)取上腹正中切口,探查见腹盆腔有较多的积血和血凝块,脾脏表面凹凸不平,肝、脾周有积血。收除腹盆腔积血约1000ML。仔细探查于脾上极脏面可见一深约2cm,长约4cm裂口,时有出血。 最后诊断:外伤性脾破裂。

发布于 15-04-01 12:39

1 个评论

发送