下载或打开 医联APP 查看完整评论
立即下载
打开APP
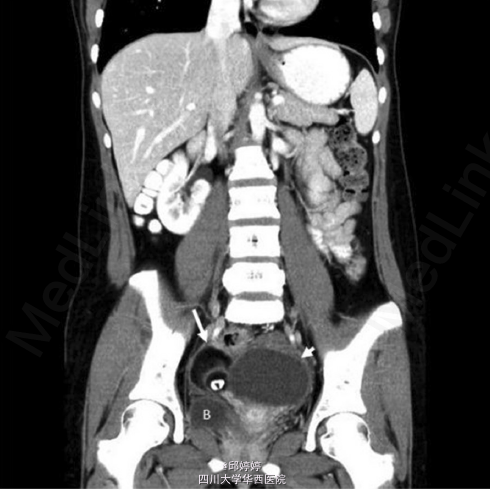
患者,女,20岁,右侧卵巢复发性成熟畸胎瘤伴CA-125增高,曾有两次手术史,第二次术后3年,出现双侧卵巢畸胎瘤。患者主要的临床表现为:间歇性腹痛,痛经,经期延长。第一次手术后一年,腹部超声检查发现(图1 示)患者右侧卵巢有一大小约4.3*3.7cm的高回声肿块,边界清晰,形态类似畸胎瘤,邻近子宫。第二次术后3年,患者再次出现腹痛,痛经等症状,增强CT检查发现(图2 示):左侧附件较大的异质性肿块,右侧附件高密度肿块。术后组织病理学检查确认为双侧附件成熟畸胎瘤,瘤体含脂质,角质,毛发等成分。 讨论:卵巢成熟畸胎瘤是一种良性肿瘤,且较为常见,但像本例这种双侧附件畸胎瘤且多次复发的病例是十分少见的。常规检查及术后超声随访监测对于这种复发性病例是十分必要的。 引自:Chang CF, Lin CK. BMC Womens Health. 2014 Apr 13;14:57

